AIE Fluorescent Microspheres
AIE fluorescent microspheres provided by EPRUI Biotech use polystyrene microspheres as carriers to encapsulate aggregation-induced emission (AIE) molecules, which ensures high fluorescence efficiency and stable performance.
Ultra-Bright, Stable AIE Fluorescence
Functionalized for Precision Bioconjugation
Versatile in Diagnostics & Bio-Imaging
EPRUI Biotech Trusted By
Exploring more about AIE Fluorescent Microspheres
AIE molecules are embedded within polystyrene microspheres, which not only greatly improves fluorescence efficiency, but also effectively isolates external environmental interference. Besides, the surface of polystyrene microspheres can be modified with a variety of functional groups such as carboxyl groups, amino groups, epoxy groups, aldehyde groups, and streptavidin, which can be used as a connection bridge for immunoassays and other scenarios to achieve efficient coupling with target molecules.
1. What are the excitation and emission wavelength of AIE fluorescent microspheres?
| Colour | Optimal excitation Wavelength | Maximum emission wavelength |
|---|---|---|
| Green | 400nm | 530nm |
| Yellow | 400nm | 550nm |
| Blue | 365nm | 415nm |
| Red | 365nm | 610nm |
Optical Advantage: Meets the optical requirements of different scenarios
Main Application Fields: Lateral flow immunochromatography assay, cell imaging, microfluidic technology, fluorescent enzyme-linked immunosorbent assay
2. What are the advantages of AIE fluorescent microspheres?
- Aggregation-induced emission, breaking through traditional bottlenecks: AIE molecules emit light efficiently due to limited intramolecular motion in the aggregation state, which fundamentally solves the problem of “aggregation leads to fluorescence quenching” of traditional fluorescent materials, and is listed by Nature as one of the four major nanomaterial systems to support the future “nanolight revolution”.
- Excellent optical performance: large Stokes displacement, which can reduce excitation light interference; The absolute quantum yield is high, the fluorescence brightness is strong, and the luminous value is significantly better than that of similar foreign brands. Excellent photostability, which can effectively avoid fluorescence attenuation and residue.
- Excellent physical and chemical properties: particle size range covers 50nm-5μm, highuniformity (CV<5%), excellent dispersibility. Characterized by a moderate density of surface functional groups and minimal inter-batch differences, these microspheres ensure high-efficiency protein coupling and are compatible with a wide range of process workflows.
3. What are main applications of AIE fluorescent microspheres?
1. In vitro diagnostics: AIE fluorescent beads are a core material for kit development. For the detection of markers such as inflammation and drugs, two to six joint tests can be realized, with high luminous value and low background characteristics, significantly improving the sensitivity and accuracy of detection, and adapting to a variety of rapid detection scenarios.

Drug Duo Combo Test Strip
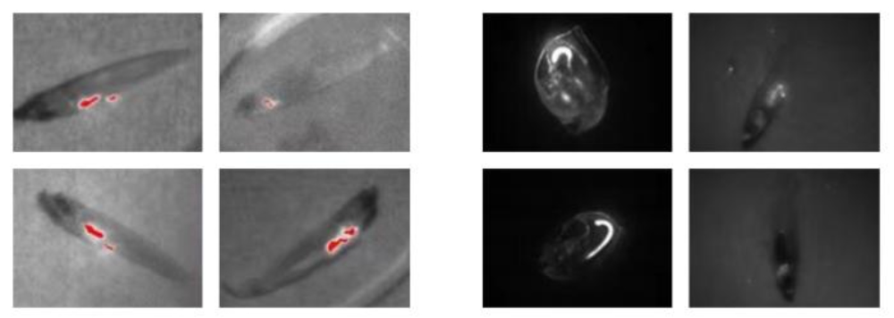
2. Bioimaging: Its near-infrared emission characteristics break through the limitations of tissue penetration, the fluorescence signal is stable during cell imaging, and the clarity of in vivo imaging is high, which can accurately track the dynamics of biomolecules and provide an intuitive visualization basis for disease research.

AIE fluorescent microspheres are used in animal imaging, seaweed simulation imaging and microplastics simulation imaging
3. Biotechnology: Adaptable to lateral chromatography, microfluidics, fluorescence ELISA and other technologies. Surface functional groups can efficiently couple biomolecules, and monodispersion ensures reaction uniformity, helping to improve detection efficiency and repeatability.
4. What are the available specifications of AIE fluorescent particles?
| Characteristic | Detail |
|---|---|
| Compose | Polystyrene coated with AIE molecule |
| Particle size range | 50nm-5μm |
| Uniform degree | CV<5% |
| Solid content | 1wt% (some models can be customized) |
| Functional Groups | Carboxyl, amino, epoxy, aldehyde, streptavidin, etc |
| Dispersion media and additives | Purified water (with 0.05wt% Proclin 300) with trace surfactant |
| Storage conditions | Refrigerate at 2-8°C (do not freeze) |
| Shelf life | 2 years |
| Model | APS | Solid content | Colour | Optimal excitation Wavelength | Maximum emission wavelength | Functional Groups |
|---|---|---|---|---|---|---|
| EPRUI-AIE-GFC-50 | 50nm | 1wt% | Green | 400nm | 530nm | -COOH |
| EPRUI-AIE-GFC-100 | 100nm | 1wt% | Green | 400nm | 530nm | -COOH |
| EPRUI-AIE-GFC-200 | 200nm | 1wt% | Green | 400nm | 530nm | -COOH |
| EPRUI-AIE-GFC-300 | 300nm | 1wt% | Green | 400nm | 530nm | -COOH |
| EPRUI-AIE-GFC-400 | 400nm | 1wt% | Green | 400nm | 530nm | -COOH |
| EPRUI-AIE-GFN-200 | 200nm | 1wt% | Green | 400nm | 530nm | 0 |
| EPRUI-AIE-YFC-50 | 50nm | 1wt% | Yellow | 400nm | 550nm | -COOH |
| EPRUI-AIE-YFC-100 | 100nm | 1wt% | Yellow | 400nm | 550nm | -COOH |
| EPRUI-AIE-YFC-200 | 200nm | 1wt% | Yellow | 400nm | 550nm | -COOH |
| EPRUI-AIE-YFC-300 | 300nm | 1wt% | Yellow | 400nm | 550nm | -COOH |
| EPRUI-AIE-YFC-400 | 400nm | 1wt% | Yellow | 400nm | 550nm | -COOH |
| EPRUI-AIE-BFC-200 | 200nm | 1wt% | Blue | 365nm | 415nm | -COOH |
| EPRUI-AIE-RFC-50 | 50nm | 1wt% | Red | 365nm | 610nm | -COOH |
| EPRUI-AIE-RFC-100 | 100nm | 1wt% | Red | 365nm | 610nm | -COOH |
| EPRUI-AIE-RFC-200 | 200nm | 1wt% | Red | 365nm | 610nm | -COOH |
| EPRUI-AIE-RFC-300 | 300nm | 1wt% | Red | 365nm | 610nm | -COOH |
| EPRUI-AIE-RFC-400 | 400nm | 1wt% | Red | 365nm | 610nm | -COOH |
| EPRUI-AIEMag-RFC-50 | 50nm | 0.1wt% | Red | 365nm | 610nm | -SA |
| EPRUI-AIEMag-RFC-100 | 100nm | 0.1wt% | Red | 365nm | 610nm | -SA |
| EPRUI-AIEMag-RFC-200 | 200nm | 0.1wt% | Red | 365nm | 610nm | -SA |
5. How to order
Please send e-mail to: sales@epruibiotech.com or call us by 86-21-64192663 for products inquires.
For detailed steps, please visit: How to Buy






















